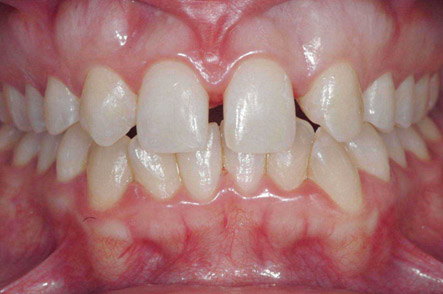
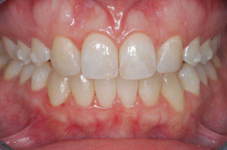
Protesi Dentale
Protesi dentale a Torino La protesi fissa ci permette di sostituire i denti mancanti mediante corone o ponti cementati ai…

Protesi dentale a Torino La protesi fissa ci permette di sostituire i denti mancanti mediante corone o ponti cementati ai…
Dal dott. Bianco, dentista a Torino specializzato, è semplice diagnosticare, prevenire e guarire le parodontiti. Nello studio dentistico del dott.…
Ortodonzia a Torino per bambini e adulti L’ortodonzia è quella branca dell’odontoiatria che si occupa del trattamento delle malocclusioni ed…
Implantologia a Torino dallo studio dentistico del dott. Bianco, specializzato nell’implantologia dentale Per implantologia si intende l’utilizzo di una protesi…
Una corretta igiene orale è condizione fondamentale al mantenimento della salute dei denti. Periodicamente è bene sottoporsi ad una visita…
Sbiancamento dentale Lo sbiancamento dentale eseguito dal dentista è una procedura che da risultati sicuri e stabili per molti anni.…

