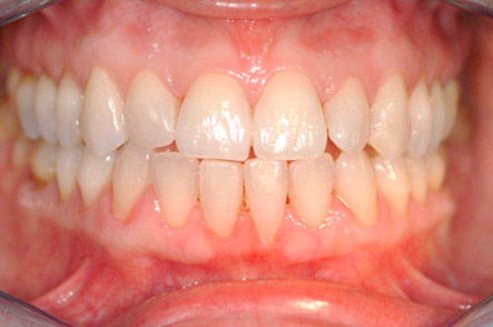
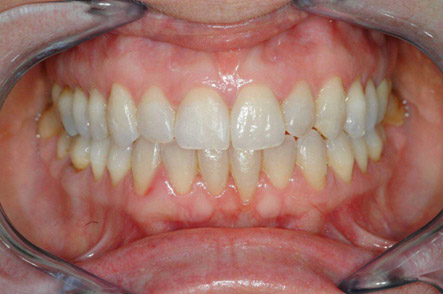
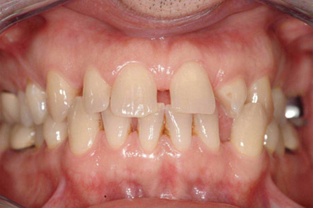
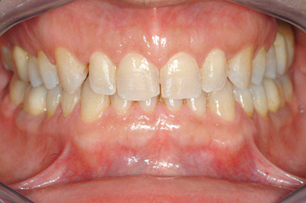
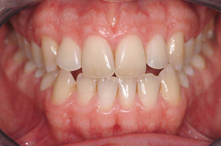
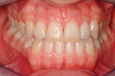
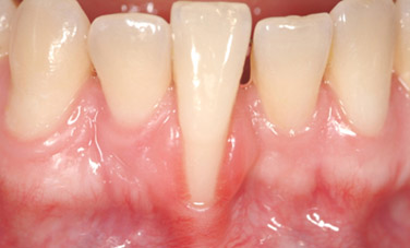
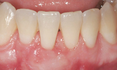
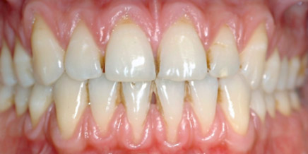
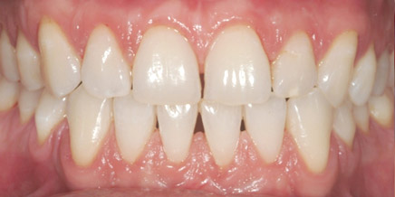
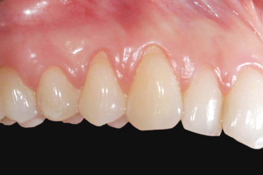
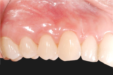
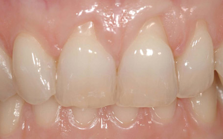
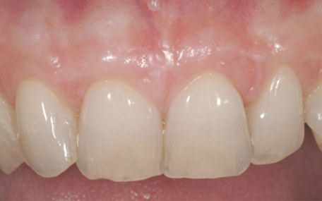
In questa pagina puoi vedere come abbiamo migliorato il sorriso e la qualità della vita di tanti dei nostri pazienti.
Se anche tu vuoi sorridere senza preoccupazioni, se ti riconosci in uno di questi esempi…prenota una visita!
Troveremo sicuramente la migliore soluzione, funzionale ed estetica, sulla base delle tue esigenze 🙂
Per vedere le immagini complete, clicca sulla freccia al centro della foto e scorri lateralmente.
















